Жуткие кадры: в сети показали легкие умершего от коронавируса

В Сети обнародованы рентгеновские снимки и сканы компьютерной томографии с изображением легких заболевшего коронавирусом.

Об этом информирует Daily Mail.

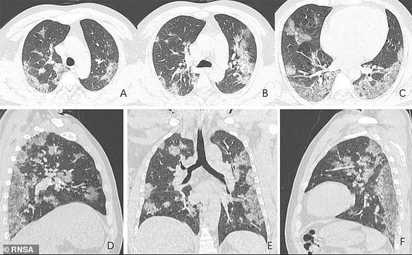
Радиологическое общество Северной Америки показало снимки легких 44-летнего китайца, работавшего на рынке в Ухане.

На кадрах видны увеличивающиеся со временем белые пятна в нижней части дыхательных органов. Также на фото заметно, что присутствие жидкости в легких мужчины постепенно становится все более выраженным.

Китаец был госпитализирован в декабре прошлого года после сильного кашля и высокой температуры. Несмотря на усилия врачей, мужчина через неделю умер.

Напомним, что ранее «Акцент» сообщал о том, что в Запорожской области было два подозрения за последнее время. После вчерашней госпитализации женщины с подозрением на коронавирус, в Запорожье сегодня зафиксировали новый подозрительный случай.

Читайте новости Запорожья в нашем Telegram: t.me/akzentzp , Twitter и подписывайтесь на канал в Youtube, а также наш Instagram.

Яна Мозуль
Редактор